Skateboarding Accident
Before
After
This 9-year-old boy fell down on the pavement when attempting to do a skateboarding trick.
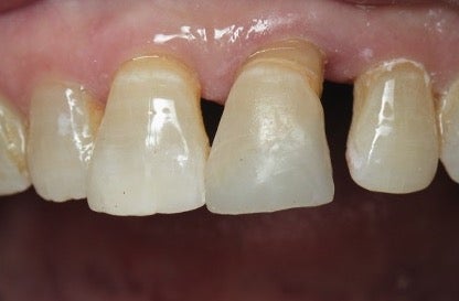
Pancho
Before
After
Pancho had not been to the dentist for a long time and decided to start taking care of his teeth. He came to us for a better smile. His upper front teeth were badly broken down. We fixed them!
Mitzi
Before
After
Mitzi always wanted to straighten her teeth but just did not have the opportunity when she was younger. We worked with her through her busy Active-duty Marine schedule, COVID pandemic, and her first pregnancy to get the smile she wanted. See testimonial.
Jojo
Before
After
Jojo had wide spacing between his lower teeth. The results speak for themselves.
Tristan
Before
After
Tristan had previous ortho treatment in the Philippines, but lost his retainer. His lower teeth relapsed. We straightened his lower teeth in 5 months just in time for his upcoming wedding.
Hairclip accident
Before
After
This lady was preparing to go to a party. While she was fixing her hair, she tried to open a hairpin using her teeth and she chipped her tooth.
Swimming pool accident
Before
After
This middle school aged girl was playing at the pool. She hit her teeth on the side of the pool and broke her three front teeth.
Cosmetic Bonding 1
Before
After
This 87 year old lady came to our office with a fractured front tooth. She wanted to fix it right away. We use a tooth-colored filling material to restore the tooth.
Cosmetic Bonding 2
Before
After
Cosmetic Bonding 3
Before
After
Pagination
Get a brighter smile today!
Contact us now to schedule your appointment and have the smile you've dreamed about!